Tooth-Colored Fillings at Millbrae Dental Care
Many of my patients come to my office looking to replace their old silver metal, mercury, or black metal fillings with the newer, safer tooth-colored fillings - commonly called composite dental fillings. Tooth-colored fillings are made of a composite resin material that is “flowable”, meaning it is in a gel or liquid form, and the dentist “flows” it into the area of your tooth where she removed the cavity. She then exposes the tooth-colored filling material to a UV light which cures the filling to a hard, strong, and safe solid. Finally, the dentist will remove any excess filling material, adjust the height of your tooth and add some details and anatomy so it looks like your natural teeth.
Replace Black Metal Fillings with Safe, Tooth-Colored Fillings
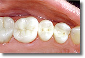
What's amazing about tooth colored-fillings is that when done properly, they last as long as the old metal mercury or silver fillings, but they look like your natural teeth. So you can have the old fillings replaced, and your fillings disappear in your smile! No more black spots on your teeth. What most of our patients do first is laser-bleach their teeth, then replace their old black fillings with tooth-colored fillings that match their newly whitened smile. The results are amazing. Here is a before and after photo of a patient who had all her silver fillings replaced with tooth-colored fillings. Even with a magnified photo, it is nearly impossible to see where the old filings were. Beautiful!

Does Dental Insurance Cover Replacing Silver Fillings?
Absolutely. Dental Insurance usually covers 60% to 100% of the cost to replace your old silver fillings. Though you can estimate your copay using our dental insurance page, it is easier if we do that for you. Just call or email our office to set up an exam appointment. We will give you an insurance estimate of your copay.
Have questions about replacing silver mercury fillings with tooth-colored fillings? email or call us:(650)-583-5880
📩
Send us Email
📅
Request Appointment
Dr. Sherry Tsai can help you replace your silver metal mercury fillings with tooth-colored fillings. We are near Millbrae, San Bruno, Burlingame, San Mateo and the Bay Area