Millbrae Dental Care
Dental Implants, Sleep Apnea, TMJ Pain Relief and Cosmetic Dentist

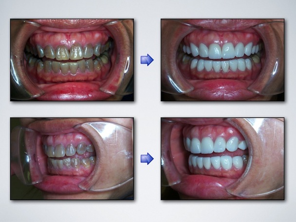
Here are a Few Beautiful Smiles by Dr. Tsai


Many of our patients asked us for referrals of patients that we have helped with their smiles. We thought we would do even better than that. Below are just a few of the quotes from our cosmetic dentistry patients. Happy patients always say it better than we ever could.




In response to a number of patients, we have added the slide show below. This has some more up-close photos of patients' beautiful smiles. If you have any questions or would like us to make a smile simulation for you, please call our office.






Some of the Amazing Changes We Can Make For You


Below is a brief slide show of some of the different changes that cosmetic dentistry can provide you. From closing gaps and straightening teeth, to stain removal and lengthening.






The Smile Design Process


So how does Dr. Tsai do it? Below is a slide show of the Smile Design Process. From design, wax up, models, to the final, beautiful smile. It usually takes about three to four weeks and a few appointments.





Beautiful Smiles Improve Your health

I know what you're thinking, here comes the marketing speak. It's true though. We see it all the time with our actual patients. Many come in with low or depressed self-esteem. Once we deliver their new smile - white and confident - their self-esteem and mood picks up. They hold their head higher, speak more confidently, and love to smile. We've designed many smiles for patients on their way to big job interviews, weddings, graduations, and even renewing their vows. A healthy confident smile really can change your life.

Want a free cosmetic consultation? Schedule an appointment with Dr. Tsai.

Or you can always email or call us: (650)-583-5880




📩
Send us Email


📅
Request Appointment






Dr. Sherry Tsai provides Family Dentistry, Cosmetic Dentistry, TMJ Pain Relief, and Sleep Apnea treatment in Millbrae, San Bruno, Burlingame, San Mateo and the Bay Area