Millbrae Dental Care
Dental Implants, Sleep Apnea, TMJ Pain Relief and Cosmetic Dentist

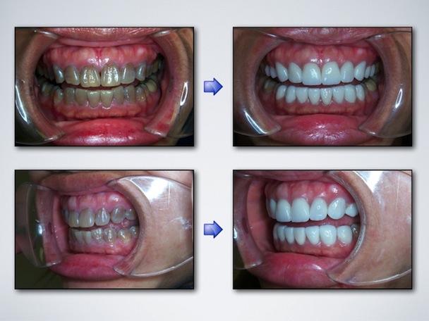
You've Found The Bay Area's Best Cosmetic Dentist


Stacks Image 502
Cosmetic Dentistry has changed a great deal over the past few years. Aside from the unfortunate fact that most general dentists market themselves as cosmetic dentists, making it hard to find a dentist properly trained, there have been many advances in materials, techniques, and most importantly, results.

Porcelain veneers are now just one of many beautiful ways to transform your less-than perfect-grin into the stunning, life-changing smile you've been looking for. Many of my patients choose a combination of invisalign or six-month-smile, lumineers, porcelain veneers, and Zoom whitening. What's great about cosmetic dentistry today is, by using different techniques, we no longer have to prep down as much natural tooth structure.

Here are a Few Beautiful Smiles by Dr. Tsai


Many of our patients asked us for referrals of patients that we have helped with their smiles. We thought we would do even better than that. Below are just a few of the quotes from our cosmetic dentistry patients. Happy patients always say it better than we ever could.




In response to a number of patients, we have added the slideshow below. This has some more up-close photos of patients' beautiful smiles. If you have any questions or would like us to make a smile simulation for you, please call our office.






What can Cosmetic Dentistry do for you?


Using cosmetic dentistry techniques like veneers, composite veneers, dental implants, and bleaching, we are able to restore your smile to a healthy, whiter, beautiful show of your confidence. From closing gaps and straightening teeth, to stain removal and lengthening.






The Cosmetic Smile Design Process


How does Dr. Tsai do transform or restore your smile? We have a step by step slideshow below that shows you the Smile Design Process. From design, wax up, and models, to the final, beautiful smile. It usually takes about three to four weeks and a few appointments.





No Prep Cosmetic Dentistry

Stacks Image 512
So, what does no-prep cosmetic dentistry mean? In the past, before Lumineers, invisalign and snap-on smile, the only choice patients had to redo their smile with was to prep down natural tooth structure to make room for porcelain crowns and veneers. While beautiful and long lasting, porcelain crowns and veneers require the doctor to remove healthy tooth to make room for them.

With advances in materials and techniques, we can now make veneers so thin (think of a contact lens thickness) that we don't have to make room for them. They simply bond on to the front surface of your natural teeth. Imagine whitening and straightening your smile without cutting down your natural teeth? It can be done.


How Do You Find a Cosmetic Dental Office?


It's not so much a cosmetic dental office as a cosmetic dentist that you should be looking for. As I mentioned, most dentists market themselves as cosmetic dentists, and I suppose to a certain degree this is correct. However, very few dentists here in the Bay Area have gone on beyond their general dentistry training to take advanced cosmetic design and neuromuscular dentistry speciality. It takes a special dentist to be able to design and deliver a beautiful smile that is unique to you and fits your personality and style while maintaining proper occlusion and function.

Where Do I Start with Cosmetic Dentistry?


The best place for patients to start their new smile is to take a few minutes and decide what you'd like to accomplish. Do you want whiter teeth, or do you want to reshape and re-contour your smile? Do you have gaps that you want to close, or chipped or missing teeth you'd like to replace? Many patients come in looking to redo their smile and are happy to find out that six months in
invisalign and a whitening appointment later, and they have that beautiful smile they've wanted for years. My point is, don't assume you have to get veneers and crowns.

Second, I would grab a few magazines focused on fashion for your gender and cut you some photos of smiles you like. With these pictures, we'll be able to help you understand the subtleties of smile design.

Finally, come in to my office for a consultation. In most cases, we offer a free cosmetic dentistry consultation. During this appointment we will show you examples of other smiles we've improved, and we can even do a computer simulated-smile with your photo. It's amazing to see what you'll look like with your new smile.

Beautiful Smiles Improve Your health


I know what you're thinking, here comes the marketing speak. It's true though. We see it all the time with our actual patients. Many patients come in with low or depressed self-esteem, and they are looking for something new, something that feels good. A few weeks later we deliver their new smile - white and confident - their self-esteem and mood picks up. They hold their head higher, speak more confidently, and love to smile. We've designed many smiles for patients on their way to job interviews, weddings, graduations, and even renewing their vows. A healthy confident smile really can change your life.

Cosmetic Dentistry Makes a Beautiful Smile Possible


Want a Cosmetic Dentistry consultation? Schedule an appointment with Dr. Tsai

Or you can always email or call us: (650)-583-5880




📩
Send us Email


📅
Request Appointment





Dr. Sherry Tsai provides an cosmetic dentistry, porcelain veneers, crowns, snap on smile, six month smile and invisalign in Millbrae, San Bruno, Burlingame, San Mateo and the Bay Area